Reinvent Your Smile With A Smile Makeover in Delaware, OH

A Smile Makeover Can Transform Your Life.

When you invest in changing your smile, you are also transforming how you look and feel about yourself.

Depending on your goals, a smile makeover in Delaware, OH can be as simple as recontouring the shape of your teeth, brightening up the color, filling in any gaps, or full-mouth restoration. Whether looking into cosmetic or restorative dentistry, we will discuss your smile goals and needs with you as part of our ongoing treatment planning process.

How a Smile Makeover Can Improve Your Life in Delaware, OH

A smile makeover is a significant investment because it will change your life. After your treatment plan is complete, your brand-new smile will give you the following improvements.

Boost Your Confidence

The improvements to your smile will be unnoticeable to others, but you will feel the difference. You will no longer have to hide your teeth in photos or worry about what people think when you laugh. Thankfully, a smile makeover allows you to show off your grin with pride.

Open More Job Opportunities

Your resume might say that you have the experience required for a position, but first impressions matter. In today’s job market, you must make a good impression during an interview. With a smile makeover, you will project confidence and give off the right impression to potential employers.

Eliminate Pain and Discomfort

Do your teeth hurt when you bite into something cold or hot? Do you have sensitive teeth? If you answered yes to either of these questions, you might need more than just a cosmetic procedure. A smile makeover can also fix functional problems with your teeth, so you can enjoy all your favorite foods again.

Improve Your Overall Mood

Your smile is one of the first things people notice about you, so it makes sense that a beautiful smile can make you feel happier. According to University of Kansas researchers, smiling can reduce stress and lower your heart rate. A smile makeover will help you take on whatever life throws your way with a positive attitude.

So what are you waiting for?
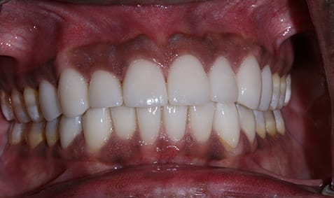
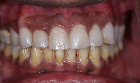
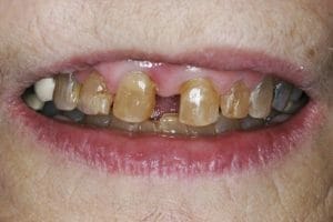
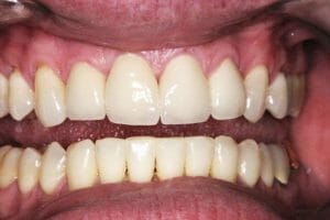
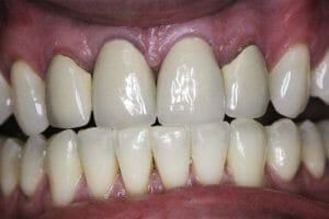
Take a look at some smile makeover before and afters for inspiration.

Before
After

What to Expect During a Smile Makeover Consultation with Dr. Eric Batterton

During your consultation, Dr. Batterton will review your health history and discuss your cosmetic and restorative smile goals. He will perform a comprehensive exam of your mouth to develop the best plan for you. Depending on what is involved in your smile makeover, the treatment process could last over multiple visits or all at once.

Dr. Batterton and our entire team understand that every patient is different, which is why we offer a variety of options to choose from, including:

The first step is always a consultation. Contact us today to schedule yours.

Frequently Asked Questions

Smile makeovers can address several common issues at once, including stains, uneven tooth shape, chips, gaps, worn edges, and older dental work that no longer matches your teeth. Some patients also want to correct discomfort or sensitivity, especially if worn enamel or bite issues play a role.

Every plan is different, but common options include in-office teeth whitening, bonding, veneers, dental implants, and restorative treatments designed to rebuild strength and comfort. Your dentist will recommend the right combination based on your smile goals and what your teeth and gums need to stay healthy.

Timing depends on the treatments in your plan. Some improvements can be completed in a short series of visits, while more comprehensive cases take multiple appointments so each step is done carefully. Your dentist will outline the timeline up front so you can plan around work, school, and family schedules.

Healthy foundations matter for long-lasting results. If there are cavities, gum inflammation, or bite concerns, your dentist may recommend addressing those first. That approach protects your investment and helps cosmetic improvements hold up over time.

Daily brushing and flossing, routine cleanings, and regular exams help protect your new smile. If your plan includes whitening, occasional touch-ups may help maintain brightness. If you grind your teeth at night, a nightguard can also help protect veneers, bonding, and natural enamel.

What is the Cost of a Smile Makeover?

Just like every patient is different, so is the cost of each smile makeover. The final price will be based on the necessary treatments to achieve your desired results. After your consultation, we will provide you with a personalized treatment plan that outlines the cost of your smile makeover.